Arbeitsgruppe Prof. Hartner
Schwerpunkte der Arbeitsgruppe
Perinatale Programmierung - Mechanismen und Konsequenzen
Mangelversorgung des Feten durch eingeschränkte Versorgung mit Nährstoffen oder Sauerstoff über die Plazenta hat in der Regel eine intrauterine Wachstumsrestriktion zur Folge. Betroffene haben im späteren Leben ein erhöhtes Risiko metabolische Erkrankungen zu entwickeln. Darüber hinaus verlaufen kardiovaskuläre und renale Erkrankungen schwerer und es gibt bei dieser Gruppe eine erhöhte Inzidenz verschiedener Krebsarten. Die Mechanismen, die zu dieser erhöhten Suszeptibilität führen, sind bisher unvollständig geklärt. Deren Kenntnis wäre aber Voraussetzung für eine effektive Prävention in diesem Kollektiv.
Mechanismen fibrotischer Erkrankungen an Herz, Nieren und Gefäßen
Erkrankungen wie Diabetes, Hypertonie, oder auch primär entzündliche Erkrankungen von Niere und Herz- Kreislaufsystem führen in vielen Fällen zu Gewebsfibrose, die letztendlich zu Nieren- und Herzinsuffizienz oder auch atherosklerotischen Gefäßverschlüssen führen können. Dies ist Folge einer gestörten Regulation der Bildung von Matrixmolekülen, Matrixrezeptoren und Molekülen des Matrixumbaus sowie des Zellumsatzes im Verlauf dieser Erkrankungen. Die Klärung der Mechanismen, die zu diesen Veränderungen führen, ist entscheidend für präventive und kurative Interventionen.
Methoden
Wie wir arbeiten
Unsere Arbeitsgruppe setzt sich zusammen aus Humanmedizinern, Biologen und Molekularmedizinern. Wir decken ein breites Spektrum molekularbiologischer, biochemischer und zellbiologischer Methoden ab. Wir haben langjährige Expertise in der Isolation und Kultur von primären Zellen aus Niere, kardiovaskulärem System und Plazenta. Ausserdem sind in unserer Arbeitsgruppe experimentelle Krankheitsmodelle für diabetische, hypertensive und entzündliche Nieren- und Gefäßschäden, aber auch Modelle der intrauterinen Wachstumsrestriktion etabliert. Histopathologische und molekularbiologische Untersuchungen werden ebenso durchgeführt, wie die Messung zahlreicher physiologischer Parameter.
Projekt: Kardiovaskuläre und renale Folgen einer perinatalen Schädigung

Die intrauterine Wachstumsrestriktion betrifft etwa 5-10% aller Neugeborenen. Sie stellt jedoch nicht nur einen zentralen Risikofaktor für peri- und neonatale Komplikationen dar. Zahlreiche epidemiologische Studien konnten im Kollektiv der intrauterin wachstumsrestringierten Patienten eine erhöhte Inzidenz kardiovaskulärer Erkrankungen im höheren Lebensalter zeigen. Gerade diese Erkrankungen sind wiederum Haupttodesursache in der westlichen Welt. Der kausale Zusammenhang zwischen der fetal-neonatalen Problematik der intrauterinen Wachstumsrestriktion zu Beginn des Lebens und terminalen Herz- Kreislauferkrankungen im fortgeschrittenen Lebensalter ist bis heute nicht geklärt. In experimentellen Modellen der intrauterinen Wachstumsrestriktion konnte gezeigt werden, dass es schon zu neonatalen strukturellen und funktionellen Veränderungen des kardiovaskulären Systems nach intrauteriner Wachstumsrestriktion kommt. So fanden wir in Herz und Gefäßen nach intrauteriner Wachstumsrestriktion schon in sehr frühem Lebensalter eine vermehrte Expression von profibrotischen Markern und eine erhöhte Anfälligkeit für die Entwicklung von atherosklerotischen Veränderungen in diesem Kollektiv. Ziel ist die Aufdeckung und Charakterisierung von primären kardiovaskulären Schäden, der Anfälligkeit für sekundäre Schädigung und letztlich die Kenntnis der zugrundeliegenden molekularbiologischen Mechanismen. Dies ist wichtige Voraussetzung für die Prävention kardiovaskulärer Erkrankungen nach intrauteriner Wachstumsrestriktion.
Ansprechpartner: PD Dr. Carlos Menendez-Castro
Projekt: Plazentare Dysregulation bei intrauteriner Wachstumsrestriktion und Präeklampsie

Intrauterine Wachstumsrestriktion (IUGR), oft vergesellschaftet mit Präeklampsie, zeichnet sich durch eine fetale Mangelversorgung aus der zumeist eine Dysregulation plazentarer Prozesse zugrunde liegt. Sie führt bei den Betroffenen im späteren Leben zu einem erhöhten Risiko einer metabolischen Erkrankung einschließlich Diabetes mellitus Typ 2, Hypertonie und Adipositas. Wir untersuchen daher Alterationen folgender trophoblastärer Funktionen:
- Tumorsuppressor-Gene
Diese üben neben ihrer Rolle in der Tumorgenese wichtige physiologische und gewebs-homeostatische Funktionen der Zelldifferenzierung und des Zellwachstums aus. In der Plazenta sind sie beteiligt an der Plazentareifung und eine Dysregulation kann zu einer Plazentainsuffizienz beitragen. Wir konnten in einem Genarray eine Reihe Tumorsuppressor-Gene identifizieren, die bei normal entwickelten und insuffizienten Plazenten differentiell exprimiert sind. In Zusammenarbeit mit der Frauenklinik untersuchen wir daher die Expression und Lokalisation dieser Tumorsuppressor-Gene in normaler Plazenta und bei Plazentainsuffizienz, sowie deren Funktion in kultivierten plazentaren Zellen. - Materno-fetaler Nährstofftransport
IUGR alteriert die Funktion des Enzyms Indolamin-2,3-Dioxygenase (IDO), welches Tryptophan abbaut. Tryptophankatabolismus beeinflusst immunologische (z.B. Immunosuppression zur Verhinderung plazentarer Abstoßung) und neurophysiologische Prozesse, welche über fetale Programmierung zur Entstehung neuropsychiatrischer Pathologien postnatal beitragen könnten. Die Untersuchung des materno-plazento-fetalen Aminosäureshuttles erfolgt mittels LC-MS/MS Metabolomics. - Plazentarer Steroidstoffwechsel
Über seine enzymatische Schrankenfunktion schützt der plazentare Synzytiotrophoblast den Feten vor exzessivem maternalen Cortisol während der Schwangerschaft. Bei IUGR ist diese Funktion jedoch teilweise aufgehoben, was eine vermehrte fetale Steroid-exposition bedingt und so die Entwicklung kindlicher Organsysteme und deren postnatale Funktion negativ beeinflusst. Wir nutzten die LC-MS/MS um diese Effekte und deren Dynamik über Steroidprofile sowohl in Gewebe als auch Blut sichtbar zu machen.
Ansprechpartner: PD Dr. Fabian Fahlbusch
Projekt: Rolle von Zell-Matrix-Rezeptoren bei renalen und kardiovaskulären Erkrankungen

Typische Merkmale progressiver Nierenerkrankungen sind eine Vermehrung und eine veränderte Zusammensetzung der renalen extrazellulären Matrix, wie auch häufig eine Vermehrung mesenchymaler Zellen. Der Auslöser und die Regulation dieser Prozesse ist immer noch unvollständig aufgeklärt. Integrine spielen dabei aber als Matrix Rezeptoren eine entscheidende Rolle. Da viele Integrine profibrotische Signale vermitteln, gelten sie als vielversprechende potentielle therapeutische Targets. Unser besonderes Interesse gilt der alpha8 Integrinkette, die in der Niere sehr spezifisch in mesenchymalen Zellen exprimiert wird. Wir konnten bereits zeigen, dass die alpha8 Integrinkette Zelladhäsion, -migration, -überleben und Zellvermehrung regulieren kann. Darüber hinaus zeigte sich eine protektive Funktion von alpha8 Integrin in der Niere hinsichtlich mechanischer Stabilität und Schutz vor krankheitsbedingten Schäden. Für unsere Untersuchungen nutzen wir kultivierte renale Zellen mit Über- oder Unterexpression der alpha8 Integrinkette, sowie alpha8 Integrin-defiziente Mäuse und Mäuse mit einer mesangialen Überexpression der alpha8 Integrinkette.
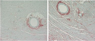
Ein weiterer Schwerpunkt unseres Interesses ist die Aufklärung der Funktion der alpha8 Integrinkette in glatten Muskelzellen (VSMC) Proliferation, Adhäsion und Migration von VSMC tragen zu arteriosklerotischen Veränderungen der Gefäße bei. Integrine sind als Matrixrezeptoren an der Regulation dieser Vorgänge beteiligt. Eigene Vorbefunde zeigen, daß alpha8 Integrin spezifisch in VSMC exprimiert wird und das Ausmass der Gefäßläsionen bei Atherosklerose und Hypertonie mit beeinflusst. Die Ergebnisse unserer Studien sollen zu einem besseren Verständnis der Pathomechanismen arteriosklerotischer Läsionen beitragen.
Ansprechpartnerin: Prof. Dr. Andrea Hartner
Projekt: Osteogene Differenzierung von Knorpel – Juvenile Osteogenese

Osteogene Differenzierung von Chondrozyten stellt einen wichtigen Mechanismus des Wachstums und der Differenzierung von Röhrenknochen dar. Bislang sind lösliche Faktoren des osteochondralen “Microenvironments” und ihre Rolle bei regenerativen Prozessen nicht hinreichend erforscht. Das Projekt bedient sich dabei humanen mesenchymalen Stammzellen (tissue engineering).
Ansprechpartner: PD Dr. Fabian Fahlbusch
Klinische Projekte
NEW_STRATEGI - Stratifying Risk for Intracerebral Haemorrhage
Untersucht wird der Einfluss des Gestationsalters auf die Prävalenz von Gerinnungsfaktoren und Komponenten des Komplementsystems bei Früh- (≤32+0 Wochen) und Reifgeborenen (≥37+0 Wochen) und ihre Rolle bei der Entwicklung von Hirnblutungen. Sekundärziel ist die Etablierung der LC-MS/MS Tandem-Massenspektrometrie als analytische Methode zur Gerinnungsdiagnostik mit minimalem Probenvolumen, bzw. Trockenblut. Details unter www.ClinicalTrials.gov, Identifier: NCT04140812.
NEOCORTIM
Beobachtungsstudie zur Funktion und Reife der Hypothalamus- Hypophysen-Nebennierenrinden-Achse (HPA) und deren Relation zu immunologischen Parametern bei früh- und reifgeborenen Neonaten. Hintergrund ist der Bedarf einer Objektivierung funktioneller neonataler Nebenniereninsuffizienz bei Frühgeborenen vor der Substitutionstherapie mit Hydrocortison (siehe z.B. PREMILOC Studie), sowie die Entwicklung des Neuro-Immuno-endokrinen Netzwerks bei Frühgeborenen im Rahmen der innaten Immunabwehr.
NeoWatch
Kooperation mit der Technischen Hochschule Nürnberg zur Erforschung kontaktloser Monitormöglichkeiten (Kombination verschiedener optischer Systeme mit Radar, Softwareintegration) bei intensivpflichtigen Frühgeborenen.
Vergleich der Antibiotikaspiegel aus Plasma und Kapillarblut mit Microsampling von neonatologischen Patienten – eine Pilotstudie zum therapeutischen Drug-Monitoring in der Neonatologie
Prospektive, monozentrische Beobachtungsstudie. Kooperation mit dem Institut für Mikrobiologie zum Einsatz von LC-MS/MS zum therapeutischen Drug-Monitoring (TDM) in der Neonatologie. Etablierung eines bayes’sches Vorhersagemodells für Antibiotikaspiegel bei Frühgeborenen.
NEO_INFLAMOD (155_21 B): Pulmonale Alteration inflammationsmodulierender Prozesse unter invasiver Beatmung von Neonaten
Prospektive, monozentrische Beobachtungsstudie. Eine frühe, Biomarker gestützte Diagnose könnte die Prävention und Behandlung der Bronchopulmonalen Dysplasie (BPD) verbessern. Ein potenzieller Ansatz wäre die Bestimmung solcher Marker in Tracheal-, bzw. Absaugsekret von Frühgeborenen. In diesem Zusammenhang werden mittels LC-MS/MS lokale pro- und antiinflammatorische Stellgrößen in der Lunge, i.e., Glucocorticoide und Eicosanoide, bei beatmeten Frühgeborenen untersucht.
Ansprechpartner: PD Dr. Fabian Fahlbusch
Kooperationen
Intern:
Prof. Dr. Karl F. Hilgers
(Medizinische Klinik 4 – Nephrologie und Hypertensiologie, UK Erlangen)
Prof. Dr. Kerstin Amann, Prof. Dr. Felix Engel
(Nephropathologische Abteilung, UK Erlangen)
Prof. Dr. Matthias W. Beckmann, PD Dr. Sven Kehl, Dr. Hanna Huebner, PD Dr. Matthias Ruebner
(Frauenklinik, UK Erlangen)
Dr. Julia Moosmann
(Kinderkardiologische Abteilung, UK Erlangen)
Prof. Dr. Tobias Bäuerle, Dr. Rafael Heiss
(Radiologisches Institut, UK Erlangen)
Prof. Dr. med. Ch. Bogdan, PD Dr. med. J. Held
(Mikrobiologisches Institut, UK Erlangen)
Extern:
Prof. Dr. Johannes C. Schittny
(UK Bern)
Prof. Dr. Phil Sutton
(Murdoch Children's Research Institute, Melbourne)
PD Dr. med. Stefan Janssen
(Institut für Strahlentherapie, Universität zu Lübeck)
Prof. Dr. Christine Niebler, Johanna Gleichauf
(Technische Hochschule Nürnberg Georg Simon Ohm)
Forschungsförderung
Intern:
Forschungsstiftung Medizin (2020; Carlos Menendez-Castro)
Johannes und Frieda Marohn-Stiftung (2020-2021, Fabian Fahlbusch)
IZKF (2016-2017) Rotationsstelle (Fabian Fahlbusch)
ELAN-Fonds (4 Projekte 2011-2016 Ines Marek, Fabian Fahlbusch, Carlos Menendez-Castro)
IZKF (2011-2012) Rotationsstelle (Ines Marek)
Johannes und Frieda Marohn-Stiftung (2 Projekte 2008-2010 Andrea Hartner, Fabian Fahlbusch)
ELAN-Fonds (3 Projekte 2000-2005, Andrea Hartner)
IZKF Teilprojekt (2002-2004; Andrea Hartner)
Extern:
Bayerische Forschungsallianz (BayIntAn_FAU,2022, Fabian Fahlbusch)
B. BRAUN STIFTUNG (2020-2022, Fabian Fahlbusch)
Bundesministerium für Bildung und Forschung (BMBF, Fabian Fahlbusch, 2018-2022)
Klaus-Kruse-Forschungsstipendium (Fabian Fahlbusch, 2019)
DAAD (2018) 3x Reisestipendien (Fabian Fahlbusch + Doktoranden)
Dr. Robert Pfleger-Stiftung (3 Projekte 2014-2017; Carlos Menendez-Castro, Fabian Fahlbusch, Andrea Hartner))
DFG SFB423 (1999-2010; Andrea Hartner)
DFG Schwerpunktprogramm Basalmembranen (1999-2004; Andrea Hartner)
DFG Graduiertenkolleg 750 (2001-2004; Andrea Hartner)
Publikationen 2020/2021/2022/2023/2024:
2020
Menendez-Castro C, Cordasic N, Dambietz D, Veelken R, Amann K, Hartner A, Hilgers KF (2020): Interleukin-11 and hypertensive kidney injury in a rat model of renovascular hypertension. Am J Hypertens 33, 331-340
Mocker A, Schmidt M, Huebner H, Wachtveitl R, Cordasic N, Rascher W, Menendez-Castro C, Hartner A, Fahlbusch FB (2020): Expression of retinoic acid receptor-responsive genes in rodent models of placental pathology. Int J Mol Sci 21, 242
Regensburger AP, Wagner AL, Hanslik G, Schüssler SC, Fahlbusch FB, Woelfle J, Jüngert J, Trollmann R, Knieling F (2020): Ultra high frequency ultrasound in patients with spinal muscular atrophy: a retrospective feasibility study. Muscle Nerve 61, E18
Cremona TP, Hartner A, Schittny JC (2020): The development of integrin alpha8 deficient lungs shows reduced and altered branching and a correction of the phenotype during alveolarization. Front Physiol 11, 530635
2021
Huebner H, Heussner K, Ruebner M, Schmid M, Nadal J, Woelfle J, Hartner A, Menendez-Castro C, Rauh M, Beckmann MW, Kehl S, Fahlbusch FB (2021): Influence of labor on direct and indirect determinants of placental 11beta-hydroxysteroid dehydrogenase activity. Arch Gynecol Obstetr 303, 401-408
Denkl B, Cordasic N, Menendez-Castro C, Schmidt M, Mocker A, Woelfle J, Hartner A, Fahlbusch FB (2021): No evidence of the unfolded protein response in the placenta of two rodent models of preeclampsia and intrauterine growth restriction. Biol Reprod 105, 449-463
Menendez-Castro C, Cordasic N, Fahlbusch FB, Ekici AB, Kirchner P, Daniel C, Amann K, Veelken R, Woelfle J, Schiffer M, Hartner A, Hilgers KF (2021): RNA Sequencing reveals induction of specific renal inflammatory pathways in a rat model of malignant hypertension. J Mol Med 99, 1727-1740
Raming R, Cordasic N, Kirchner P, Ekici AB, Fahlbusch FB, Woelfle J, Hilgers KF, Hartner A, Menendez-Castro C (2021): Neonatal nephron loss during active nephrogenesis results in altered expression of renal developmental genes and markers of kidney injury. Physiol Genom 53, 509-517
Mehta P, Janssen S, Fahlbusch FB, Schmid SM, Gebauer J, Cremers F, Ziemann C, Tartz M, Rades D (2021): Sparing the hippocampus and the hypothalamic- pituitary region during whole brain radiotherapy: a volumetric modulated arc therapy planning study. BMC Cancer 20, 610
Gebauer J, Mehta P, Fahlbusch FB, Schmid SM, Rades D, Janssen S (22021): Hypothalamic-Pituitary Axis Dysfunction after Whole Brain Radiotherapy - A Cohort Study. Anticancer Res 40, 5787-5792
2022
Schüssler SC, Schmidt M, Deiters L, Candova A, Fahlbusch FB, Trollmann R (2022) Long-term outcomes of very-low-birth-weight and low-birth-weight preterm newborns with neonatal seizures: A single-center perspective Eur J Paediatr Neurol 36:137-142
Goebel CA, Brown E, Fahlbusch FB, Wagner AL, Buehler A, Raupach T, Hohmann M, Späth M, Burton N, Woelfle J, Schmidt M, Hartner A, Regensburger AP, Knieling F (2022): High resolution label–free mapping of murine kidney vasculature by raster-scanning optoacoustic mesoscopy: an ex vivo study. Mol Cell Pediatr 9, 13
Schley B, Hartner A (2022): Prolyl hydroxylase inhibitor molidustat fails to restore erythropoietin production in the fibrotic kidney. Acta Physiol 235, e13858
2023
Menendez-Castro C, Cordasic N, Fahlbusch FB, Woelfle J, Hilgers KF, Hartner A. (2023): Sex differences in long-term kidney fibrosis following neonatal nephron loss during ongoing nephrogenesis. Mol Cell Pediatr. 10;:8. doi: 10.1186/s40348-023-00164-4. PMID: 37624430; PMCID: PMC10457250.
Hartner A, Dambietz T, Cordasic N, Willam C, Burzlaff N, Brötsch M, Daniel C, Schiffer M, Amann K, Veelken R, Schley G, Hilgers KF. (2023): No benefit of HIF prolyl hydroxylase inhibition for hypertensive renal damage in renovascular hypertensive rats. Front Physiol. 14, 1208105. doi: 10.3389/fphys.2023.1208105. PMID: 37435301; PMCID: PMC10331609.
Sieckmann T, Schley G, Ögel N, Kelterborn S, Boivin FJ, Fähling M, Ashraf MI, Reichel M, Vigolo E, Hartner A, Lichtenberger FB, Breiderhoff T, Knauf F, Rosenberger C, Aigner F, Schmidt-Ott K, Scholz H, Kirschner KM. (2023): Strikingly conserved gene expression changes of polyamine regulating enzymes among various forms of acute and chronic kidney injury. Kidney Int. 104, 90-107. doi: 10.1016/j.kint.2023.04.005. Epub 2023 Apr 28. PMID: 37121432.
Gleichauf J, Hennemann L, Fahlbusch FB, Hofmann O, Niebler C, Koelpin A. (2023): Sensor Fusion for the Robust Detection of Facial Regions of Neonates Using Neural Networks. Sensors (Basel). 23, 4910. doi: 10.3390/s23104910. PMID: 37430829; PMCID: PMC10223875.
Janssen S, El Shafie RA, Ruder AM, Buergy D, Scafa D, Giordano FA, Nicolay NH, Vogel MME, Combs SE, Fahlbusch FB, Rades D, Käsmann L. (2023): Mobile applications in radiation oncology-current choices and future potentials. Strahlenther Onkol. 199, 337-349. doi: 10.1007/s00066-023-02048-y. Epub 2023 Feb 21. PMID: 36810957; PMCID: PMC9943039.
Morhart P, Gerlach RG, Kunz C, Held J, Valenza G, Wölfle J, Reutter H, Hanslik GJ, Fahlbusch FB. (2023): Application of Next-Generation Sequencing to Enterobacter Hormaechei Subspecies Analysis during a Neonatal Intensive Care Unit Outbreak. Children (Basel). 10, 1696. doi: 10.3390/children10101696. PMID: 37892359; PMCID: PMC10605273.
Bär A, Schmitt-Grohé S, Held J, Lubig J, Hanslik G, Fahlbusch FB, Reutter H, Woelfle J, van der Donk A, Schleier M, Hepp T, Morhart P. (2023): Evaluating the Use of Neonatal Colonization Screening for Empiric Antibiotic Therapy of Sepsis and Pneumonia. Antibiotics (Basel). 12, 189. doi: 10.3390/antibiotics12020189. PMID: 36830099; PMCID: PMC9952289.
2024
Janssen S, El Shafie RA, Grohmann M, Knippen S, Putora PM, Beck M, Baehr A, Clemens P, Stefanowicz S, Rades D, Becker JN, Fahlbusch FB (2024): Survey in radiation oncology departments in Germany, Austria, and Switzerland: state of digitalization by 2023. Strahlenther Onkol. 200(6):497-506. doi: 10.1007/s00066-023-02182-7. Epub 2023 Dec 5.
Baumgartner MK, Behr AL, Garbe AC, Quatember C, Reutter H, Woelfle J, Fahlbusch FB, Hanslik G (2024): Diving into the Digital Landscape: Assessing the Quality of Online Information on Neonatal Jaundice for Parents. Children (Basel). 19;11(7):877. doi: 10.3390/children11070877.
Publikationen bis 2019
2019
Topf HG, Strasser ER, Breuer G, Rascher W, Rauh M, Fahlbusch FB (2019): Closing the gap – detection of clinically relevant von Willebrand disease in emergency settings through an improved algorithm based on rotational thromboelastometry. BMC Anesthesiol 19, 10
Schmidt M, Rauh M, Schmid M, Huebner H, Ruebner M, Wachtveitl R, Cordasic N, Rascher W, Menendez-Castro C, Hartner A, Fahlbusch FB (2019): Influence of low protein diet-induced fetal growth restriction on the neuroplacental corticosterone axis in the rat. Frontiers Endocrinol, 10, 124
Schroer S, Fahlbusch FB, Münch F, Alkassar M, Toka HR, Rauh M, Rüffer A, Cesnjevar R, Dittrich S, Toka O, Moosmann J (2019): Multisite measurement of regional oxygen saturation in Fontan patients with or without protein-losing enteropathy at rest and during exercise. Pediatr Res, 85, 777-785
Regensburger AP, Konrad V, Trollmann R, Eyüpoglu IY, Huebner H, Zierk J, Volkl TMK, Fahlbusch FB (2019): Treatment of severe traumatic brain injury in German pediatric intensive care units – a survey of current practice. Childs Nerv Syst, 35, 815-822
Schüssler SC, Kußmann F, Fahlbusch FB, Münster T, Hirsch K, Carbon R, Albrecht S, Dötsch J, Rascher W (2019): Postoperative pain in small-for-gestational age infants after hernia repair, orchidopexy and urethral reconstruction surgery: a pilot study. Early Hum Dev, 136, 39-44
Janssen S, Fahlbusch FB, Käsmann L, Rades D, Vordermark D (2019): Radio-therapy for prostate cancer: DISCERN quality assessment of patient-oriented websites in 2018. BMC Urol 19, 42
Janssen S, Mehta P, Bartscht T, Schmid SM, Fahlbusch FB, Rades D (2019): Prevalence of metastases within the hypothalamic-pituitary area in patients with brain metastases. Radiat Oncol 14, 152
Mehta P, Fahlbusch FB, Rades D, Schmid SM, Gebauer J, Janssen S (2019): Are hypothalamic-pituitary axis deficiencies after whole brain radiotherapy of relevance for adult cancer patients? – a systematic review or the literature. BMC Cancer 19, 1213
Mocker A, Hilgers KF, Cordasic N, Wachtveitl R, Menendez-Castro C, Woelfle J, Hartner A, Fahlbusch FB (2019): Renal chemerin expression is induced in models of hypertensive nephropathy and glomerulonephritis and correlates with markers of inflammation and fibrosis. Int J Mol Sci 20, E6240
Mocker A, Schmidt M, Huebner H, Wachtveitl R, Cordasic N, Menendez-Castro C, Hartner A, Fahlbusch F (2019): Expression of retinoic acid receptor-responsive genes in rodent models of placental pathology. Int J Mol Sci 21, 242
2018
Knieling F, Gonzales-Meneses J, Claussen J, Schwarz M, Neufert C, Fahlbusch FB, Rath T, Thoma O, Kramer V, Menchicchi B, Kersten C, Scheibe K, Schürmann S, Carle B, Rascher W, Neurath MF, Ntziachristos V, Waldner MJ (2018): Raster-scanning optoacoustic mesoscopy for gastrointestinal imaging at high resolution. Gastroenterology 154, 807-809
Huebner H, Knoerr B, Betzler A, Hartner A, Kehl S, Baier F, Wachter DL, Strick R, Beckmann MW, Fahlbusch FB, Ruebner M (2018): Detyrosinated tubulin is decreased in fetal vessels of preeclampsia placentas. Placenta 62, 58-65
Huebner H, Hartner A, Rascher W, Strick R, Kehl S, Heindl F, Wachter DL, Beckmann MW, Fahlbusch FB, Ruebner M (2018): Expression and regulation of retinoic acid receptor responders in the human placenta. Reprod Sci 25, 1357-1370
Marek I, Becker R, Fahlbusch FB, Menendez-Castro C, Rascher W, Daniel C, Volkert G, Hartner A (2018): Expression of the alpha8 integrin chain facilitates phagocytosis by renal mesangial cells. Cell Physiol Biochem 45, 2161-73
Menendez-Castro C, Nitz D, Cordasic N, Jordan J, Bäuerle T, Fahlbusch FB, Rascher W, Hilgers KF, Hartner A (2018): Neonatal nephron loss during active nephrogenesis – detrimental impact with longterm consequences. Sci Rep 8, 4542
Menendez-Castro C, Rascher W, Hartner A (2018): Intrauterine growth restriction - impact on cardiovascular diseases later in life. Mol Cell Pediatr 5, 4
Wahlbuhl M, Schuepbach-Mallepell S, Kowalczyk-Quintas C, Dick A, Fahlbusch FB, Schneider P, Schneider H (2018): Attenuation of mammary gland dysplasia and feeding difficulties in Tabby mice by fetal therapy. J Mammary Gland Biol Neoplasia 23, 125-138
Janssen S, Rades D, Meyer A, Fahlbusch FB, Wildfang I, Meier A, Schild S, Christiansen H, Henkenberens C (2018): Local recurrence of breast cancer: conventionally fractioned partial external beam re-irridation with curative intention. Strahlenther Onkol 194, 806-814
Fahlbusch FB, Heinlein T, Rauh M, Dittrich S, Cesnjevar R, Moosmann J, Nadal J, Schmid M, Muench F, Schroth M, Rascher W, Topf HG (2018): Influence of factor XIII activity on post-operative transfusion in congenital cardiac surgery – A retrospective analysis. PLoS one 13, e0199240
Ogawa T, Li Y; Lua I, Hartner A, Asahina K (2018): Isolation of a unique hepatic stellate cell population expressing integrin a8 from embryonic mouse livers. Dev Dyn 247, 867-881
2017
Meliso FM, Micali D, Silva CT, Sabedot TS, Coetzee SG, Koch A, Fahlbusch FB, Noushmehr H, Schneider-Stock R, Jasiulionis MG (2017): SIRT1 regulates Mxd1 during malignant melanoma progression. Oncotarget 8, 114540-53
Huebner H, Strick R, Wachter DL, Kehl S, Strissel PL, Schneider-Stock R, Hartner A, Rascher W, Horn LC, Beckmann MW, Ruebner M, Fahlbusch FB (2017): Hypermethylation and loss of Retinoic Acid Receptor Responder 1 expression in human choriocarcinoma. J Exp Clin Cancer Res 36, 165
Janssen S, Käsmann L, Fahlbusch FB, Rades D, Vordermark D (2018): Side effects of radiotherapy in breast cancer patients – The internet as an information source. Strahlenther Onkol 194, 136-142
Menendez-Castro C, Zapke M, Fahlbusch FB, von Goessel H, Rascher W, Jüngert J (2017): Microbubbles in macrocysts – contrast enhanced ultrasound assisted sclerosant therapy of a congenital macrocystic lymphangioma: a case report. BMC Medical Imag 17, 39
Kohli S, Hoffmann J, Lochmann F, Markmeyer P, Huebner H, Fahlbusch F, Al-Dabet MM, Gadi I, Manoharan J, Löttge M, Zenclussen AC, Aharon A, Brenner B, Shahzad K, Ruebner M, Isermann B (2017): p45 NF-E2 regulates syncytiotrophoblast differentiation by post-translational GCM1 modifications in human intrauterine growth restriction. Cell Death Dis 8, e273
Marek I, Canu M, Cordasic N, Rauh M, Volkert G, Fahlbusch FB, Rascher W, Hilgers KF, Hartner A, Menendez-Castro C (2017): Sex differences in the development of vascular and renal lesions in mice with a simultaneous deficiency for ApoE and the integrin chain itga8. Biol Sex Diff 8, 19
Perzel S, Huebner H, Rascher W, Hartner A, Menendez-Castro C, Fahlbusch FB (2017): Searching the web: a survey on the quality of advice on postnatal sequelae of intrauterine growth restriction and the implication of developmental origins of health and disease. J Dev Origins Health Dis, 8, 604-612
Heiss R, Fahlbusch FB, Jacobi J, Daniel C, Ekici A, Cordasic N, Amann K, Hartner A, Hilgers KF (2017): Blunted transcriptional response to skeletal muscle ischemia in rats with chronic kidney disease: potential role for impaired ischemia-induced angiogenesis. Physiol Genom, 49, 230-237
Heussner K, Rauh M, Cordasic N, Menendez-Castro C, Huebner H, Ruebner M, Schmidt M, Hartner A, Rascher W, Fahlbusch FB (2017): Adhesive blood microsampling systems for steroid measurement via LC-MS/MS in the rat. Steroids 120, 1-6
Herdl S, Huebner H, Volkert G, Marek I, Menendez-Castro C, Noegel SC, Ruebner M, Rascher W, Hartner A, Fahlbusch FB (2017): Integrin alpha8 is abundant in human, rat and mouse trophoblasts. Reprod Sci, 24, 1426-1437
Schellinger IN, Cordasic N, Panesar J, Jacobi J, Hartner A, KlankeB, Buchholz B, Burzlaff N, Warnecke C, Willam C, Tsao PS, Eckardt KU, Amann K, Hilgers KF (2016): HIF stabilization via carbone monoxide and pharmacological inhibition of prolyl-4-hydroxylase improves defective ischemia-induced angiogenesis in a rodent model of chronic kidney disease. Kidney Int, in press
2016
Knieling F, Strobel D, Rompel O, Zapke M, Menendez-Castro C, Wölfel M, Schulz J, Rascher W, Jüngert J (2016): Spectrum, applicability and diagnostic capacity of contrast-enhanced ultrasound in pediatric patients and young adults after intravenous application - A retrospective trial. Ultraschall Med, in press
Hartner A, Jagusch L, Cordasic N, Amann K, Veelken R, Jacobi J, Hilgers KF (2016): Impaired neovascularization and reduced capillary supply in the malignant versus non-malignant course of experimental renovascular hypertension. Front Physiol 7, 370
Marek I, Lichtneger T, Cordasic N, Hilgers KF, Volkert G, Fahlbusch F, Rascher W, Hartner A, Menendez-Castro C (2016): Alpha8 integrin signalling attenuates chronic renal interstitial fibrosis by reducing fibroblast activation, not by interfering with the regulation of cell turnover. PLoS One 11, e0150471
Heussner K, Ruebner M, Huebner H, Rascher W, Menendez-Castro C, Hartner A, Fahlbusch FB, Rauh M (2016): Species differences of 11beta-hydroxysteroid dehydrogenase type 2 function in human and rat term placenta determined via LC-MS/MS. Placenta 37, 79-84
2015
Fahlbusch FB, Ruebner M, Huebner H, Volkert G, Bartunik H, Winterfeld I, Hartner A, Menendez-Castro C, Noegel SC, Marek I, Wachter D, Schneider-Stock R, Beckmann MW, Kehl S, Rascher W (2015): Placental characterization of the tumor-suppressor gene gastrokine-2. Histochem Cell Biol 144, 281-291
Fahlbusch FB, Heussner K, Schmid M, Schild R, Ruebner M, Huebner H, Rascher W, Doerr HG, Rauh M (2015): Measurement of amniotic fluid steroids of midgestation via LC-MS/MS. J Steroid Biochem Mol Biol 152, 155-160
Benderska N, Dittrich AL, Knaup S, Rau TT, Neufert C, Wach S, Fahlbusch FB, Rauh M, Wirtz RM, Agaimy A, Srinivasan S, Mahadevan V, Rümmele P, Rapti E, Gazouli M, Hartmann A, Schneider-Stock R (2015): miRNA-26b overexpression in ulcerative colitis-associated carcinogenesis. Inflamm Bowel Dis 21, 2039-2051
Marek I, Benz K, Kusnik S, Morhart P, Botzenhardt S, Toni I, Rascher W (2015): Phosphate intoxication after application of enema – a life-threatening iatrogenic complication. Klin Pädiatr 227, 235-238
Fahlbusch FB, Hartner A, Menendez-Castro C, Noegel SC, Beckmann MW, Schleussner E, Ruebner M, Huebner H, Dörr HG, Schild RL, Dötsch J, Rascher W (2015): The placental mTOR pathway: biomarker for early growth trajectories following intrauterine growth restriction? J Dev Origins Health Dis 6, 317-326
Menendez-Castro C, Cordasic N, Neureiter D, Amann K, Marek I, Volkert G, Stintzing S, Jahn A, Rascher W, Hilgers KF, Hartner A (2015): Underexpression of alpha8 integrin aggravates experimental atherosclerosis. J Pathol 236, 5-16
2014
El-Baba C, Mahadevan V, Fahlbusch FB, S SM, Rau TT, Gali-Muhtasib H, Schneider-Stock R (2014): Thymoquinone-induced conformational changes of PAK1 interrupt prosurvival MEK-ERK signaling in colorectal cancer. Mol Cancer 29;13:201.
Beinder L, Fährmann N, Wachtveitl R, Winterfeld I, Hartner A, Menendez-Castro C, Rauh M, Ruebner M, Huebner H, Noegel SC, Doerr HG, Rascher W, Fahlbusch F (2014): Detection of expressional changes induced by intrauterine growth restriction in the developing rat mammary gland via exploratory pathways analysis. PLoS One 9, e100504
Marek I, Volkert G, Hilgers KF, Bieritz B, Reinhardt DP, Rascher W, Hartner A (2014): Fibrillin-1 and alpha8 integrin are co-expressed in the glomerulus and interact to convey adhesion of mesangial cells. Cell Adhes Migrat 8, 389-395
Menendez-Castro C, Toka O, Fahlbusch F, Cordasic N, Wachtveitl R, Rascher W, Hilgers KF, Hartner A (2014): Impaired myocardial performance in a normotensive rat model of intrauterine growth restriction. Ped Research 75, 697-706
Volkert G, Jahn A, Dinkel C, Fahlbusch F, Zürn C, Hilgers KF, Rascher W, Hartner A, Marek I (2014): Contribution of alpha8 integrin to the expression of extracellular matrix components. Cell Commun Adhes 21, 89-98
Hartner A, Cordasic N, Klanke B, Menendez-Castro C, Veelken R, Schmieder RE, Hilgers KF (2014): Renal protection by low dose irbesartan in diabetic nephropathy is paralleled by a reduction of inflammation, not of ER stress. BBA - Mol Basis Dis 1842, 558-565
2013
Fahlbusch F, Ruebner M, Huebner H, Volkert G, Zuern C, Thiel F, Koch M, Menendez-Castro C, Wachter DL, Hartner A, Rascher W: The tumor suppressor gastrokine-1 is expressed in placenta and contributes to the regulation of trophoblast migration. Placenta 2013, 34:1027-35
Ruebner M, Strissel P, Ekici AB, Stiegler E, Dammer U, Goecke TW, Faschingbauer F, Fahlbusch F, Beckmann MW, Strick R: Reduced syncytin-1 expression levels in placental syndromes correlates with epigenetic hypermethylation of the ERVW-1 promoter region. PLoS One 2013, 8:e56145
Fahlbusch F, Ruebner M, Rascher W, Rauh M: Combined quantification of corticotropin-releasing hormone, cortisol-to-cortisone ratio and progesterone by liquid chromatography-Tandem mass spectrometry in placental tissue. Steroids 2013, 78:888-95
Menendez-Castro C, Hilgers KF, Amann K, Cordasic N, Wachtveitl R, Fahlbusch F, Plank C, Dötsch J, Rascher W, Hartner A: Intrauterine growth restriction leads to a dysregulation of WT1 and to early podocyte alterations. Nephrol Dial Transplant 2013, 28:1407-17
2012
Hartner A, Menendez-Castro C, Cordasic N, Marek I, Volkert G, Klanke B, Rascher W, Hilgers KF: Tubulointerstitial de novo expression of the alpha8 integrin chain in renal fibrosis – A potential target for anti-fibrotic therapy? PLoS One 2012, 7:48362
Fahlbusch FB, Ruebner M, Volkert G, Offergeld R, Hartner A, Menendez-Castro C, Strick R, Rauh M, Rascher W, Dötsch J: Corticotropin-releasing hormone stimulates expression of leptin, 11beta-HSD2 and syncytin-1 in primary human trophoblasts, Reprod Biol Endocrinol 2010, 10:80
Fahlbusch FB, Dawood Y, Hartner A, Menendez-Castro C, Nögel SC, Tzschoppe A, Schneider H, Strissel P, Beckmann MW, Schleussner E, Ruebner M, Dörr H, Schild R, Rascher W, Doetsch J: Cullin 7 and Fbxw 8 expression in trophoblastic cells is regulated via oxygen tension: implications for intra-uterine growth restriction? J Matern Fetal Neonatal Med 2012, 25:2209-15
Menendez-Castro C, Cordasic N, Schmid M, Fahlbusch F, Rascher W, Amann K, Hilgers KF, Hartner A: Intrauterine growth restriction promotes atherosclerotic vascular remodelling following carotid artery ligation in rats, Clin Sci 2012, 123:437-444
Amann K, Haas CS, Schüssler J, Daniel C, Hartner A, Schöcklmann HO: Beneficial effects of integrin alphavbeta1-blocking RGD peptides in early but not late phase of experimental glomerulonephritis. Nephrol Dial Transplant 2012, 27:1755-1768
2011
Benz K, Campean V, Cordasic N, Karpe B, Neuhuber W, Mall G, Hartner A, Hilgers KF, Amann K: Early glomerular alterations in genetically determined low nephron number. Am J Physiol Renal Physiol 2011, 300:F521-F530
Amann K, Odoni G, Benz K, Campean V, Jacobi J, Hilgers KF, Hartner A, Veelken R, Orth S: Sympathetic blockade prevents the decrease in cardiac VEGF expression and capillary supply in experimental renal failure. Am J Physiol Renal Physiol 2011, 300:F105-F112
Fujiwara H, Ferreira M, Donati G, Marciano DK, Linton JM, Sato Y, Hartner A, Sekiguchi K, Reichardt LF, Watt FM: The basement membrane of hair follicle stem cells is a muscle cell niche: Wnt-dependent nephronectin deposition. Cell 2011, 144:77-589
Alejandre Alcázar M, Boehler E, Amann K, Klaffenbach D, Hartner A, Allabauer I, Wagner L, von Hörsten S, Plank C, Dötsch J: Persistent changes within the intrinsic kidney-associated NPY-system and tubular function by litter size reduction. Nephrol Dial Transplant 2011, 26:2453-2465
Menendez-Castro C, Fahlbusch F, Cordasic N, Amann K, Münzel K, Plank C, Wachtveitl R, Rascher W, Hilgers KF, Hartner A: Early and late postnatal myocardial and vascular changes in a protein restriction rat model of intrauterine growth restriction. PLoS One 2011, 6:e20369
Knier B, Cordasic N, Klanke B, Heusinger-Ribeiro J, Daniel C, Veelken R, Hartner A, Hilgers KF: Role of the plasminogen-plasmin-system in hypertensive organ damage. J Hypertens 2011, 29:1602-1612
Klaffenbach D, Meissner U, Raake M, Fahlbusch F, Alejandre Alcazar MA, Allabauer I, Kratzsch J, Rascher W, Dötsch J: Upregulation of leptin-receptor in placental cells by hypoxia. Regul Pept 2011, 167:156-62
Tzschoppe A, Fahlbusch F, Seidel J, Dörr HG, Rascher W, Goecke TW, Beckmann MW, Schild RL, Struwe E, Dötsch J: Dexamethasone stimulates the expression of leptin and 11β-HSD2 in primary human placental trophoblastic cells. Eur J Obstet Gynecol Reprod Biol 2011, 156:50-5
2010
Westhoff JH, Schildhorn C, Jacobi C, Hömme M, Hartner A, Braun H, Kryzer C, Wang C, von Zglinicki T, Kränzlin B, Gretz N, Melk A: Telomere Shortening Reduces Regenerative Capacity after Acute Kidney Injury. J Am Soc Nephrol 2010, 21:327-336
Geissler B, Plank C, Hartner A, Amann K, Struwe FG, Hilgers KF, Rascher W, Dötsch J. Effects of adrenomedullin on the glomerular adrenomedullin system in a rat model of Anti-Thy1.1 nephritis. Nephron Exp Nephrol 2010, 115:e80-88
Plank C, Nüsken K, Menendez-Castro C, Hartner A, Östreicher I, Amann K, Baumann P, Peters H, Rascher W, Dötsch J: Intrauterine growth restriction following ligation of the uterine arteries leads to more severe glomerulosclerosis after mesangioproliferative glomerulonephritis in the offspring. Am J Nephrol 2010, 32:287-295
Hartner A, Cordasic N, Menendez-Castro C, Volkert G, Yabu JM, Kupraszewicz-Hutzler M, Rascher W, Hilgers KF: Lack of alpha8 integrin aggravates podocyte injury in experimental diabetic nephropathy. Am J Physiol Renal Physiol 2010, 299:F1151-7
Marek I, Volkert G, Jahn A, Fahlbusch F, Zürn C, Özcan Z, Goppelt-Strübe M, Hilgers KF, Rascher W, Hartner A: Lack of alpha8 integrin leads to morphological changes in renal mesangial cells, but not in vascular smooth muscle cells. BMC Cell Biology 2010, 11:102
Ruebner M, Strissel PL, Langbein M, Fahlbusch F, Wachter DL, Faschingbauer F, Beckmann MW, Strick R: Impaired cell fusion and differentiation in placentae from patients with intrauterine growth restriction correlate with reduced levels of HERV envelope genes. J Mol Med (Berl) 2010; 88:1143-56
2009
Hartner A, Cordasic N, Rascher W, Hilgers KF: Deletion of the alpha8 integrin gene does not protect mice from myocardial fibrosis in DOCA hypertension. Am J Hypertens 2009, 22:92-9
Hartner A, Klanke B, Cordasic N, Amann K, Schmieder RE, Veelken R, Hilgers KF: Statin treatment reduces glomerular inflammation and podocyte damage in rat DOCA-salt hypertension. J Hypertens 2009, 27:376-85
Amann K, Haas CS, Zeiler G, Benz K, Bader BL, Hartner A, Hilgers KF: Lack of nidogen-2 increases blood pressure, glomerular and tubulointerstitial damage in DOCA-salt hypertension. Eur J Clin Invest 2009, 39:116-25
Stintzing S, Ocker M, Hartner A, Amann K, Letterio B, Neureiter D: Differentiation patterning of vascular smooth muscle cells (VSMC) in atherosclerosis. Virchow’s Archiv 2009, 455:171-85
Krüger B, Härteis S, Yang L, Hartner A, Rauh R, Korbmacher C, Diakov A: Cholesterol depletion of the plasma membrane prevents activation of the epithelial sodium chanel (ENaC) by SGK-1. J Cell Physiol Biochem 2009, 24:605-618
Tzschoppe A, Struwe E, Blessing H, Fahlbusch F, Liebhaber G, Dörr HG, Rauh M, Rascher W, Goecke TW, Schild RL, Schleussner E, Scheler C, Hübler A, Dahlem P, Dötsch J: Placental 11beta-HSD2 gene expression at birth is inversely correlated with growth velocity in the first year of life after intrauterine growth restriction. Pediatr Res 2009;65:647-53
2008
Hartner A, Marek I, Cordasic N, Haas C, Schöcklmann HO, Hülsmann-Volkert G, Plasa I, Rascher W, Hilgers KF, Amann K: Glomerular regeneration is delayed in nephritic α8 integrin-deficient mice: Contribution of α8 integrin to the regulation of mesangial cell apoptosis. Am J Nephrol 2008, 28:168-178
Zeltner R, Hilgers KF, Schmieder RE, Porst M, Schulze BD, Hartner A: A promoter polymorphism of the alpha 8 integrin gene and the progression of autosomal dominant polycystic kidney disease, Nephron Clin Pract 2008, 108:169-175
Bertog M, Cuffe JE, Hummler E, Hartner A, Porst M, Hilgers KF, Rossier BC, Korbmacher C: The gain of aldosterone to stimulate ENaC mediated Na+ transport in colon is increased in a mouse model for Liddle’s syndrome. J Physiol 2008, 586:459-475
Müller DN, Klanke B, Feldt S, Cordasic N, Hartner A, Schmieder RE, Luft FC, Hilgers FC: (Pro)renin receptor peptide inhibitor “handle-region” peptide does not affect hypertensive nephrosclerosis in Goldblatt rats. Hypertension 2008, 51:676-681
Veelken R, Hilgers KF, Vogel E, Amann K, Hartner A, Sass G, Neuhuber W, Tiegs G: Autonomic renal denervation ameliorates experimental glomerulonephritis in the rat. J Am Soc Nephrol 2008, 19:1371-8
Klanke B, Cordasic N, Hartner A, Schmieder RE, Veelken R, Hilgers KF: Blood pressure versus direct mineralocorticoid effects on kidney inflammation and fibrosis in DOCA-salt hypertension. Nephrol Dial Transplant 2008, 23:3456-63
Westhoff JH, Hilgers KF, Steinbach MP, Hartner A, Klanke B, Amann K, Melk A: Hypertension induces somatic cellular senescence in rats and humans by induction of cell cycle inhibitor p16INK4a. Hypertension 2008, 52:123-9
Spranger R, Hartner A, Schild RL, Knerr I, Rascher W, Dötsch J: Leptin expression in primary trophoblast cells is not increased by factors present in the preeclamptic maternal serum. Hypertens Pregnancy 2008, 27:267-77
Plank C, Grillhösl C, Östreicher I, Meißner U, Struwe FG, Rauh M, Hartner A, Rascher W, Dötsch J: Transient growth hormone therapy to rats with low protein-inflicted intrauterine growth restriction does not prevent elevated blood pressure later in life. Growth Factors 2008, 26:355-64
2007
Hartner A, Cordasic N, Klanke B, Wittmann M, Veelken R, Hilgers KF: Renal injury in streptozotocin-diabetic Ren2-TGR rats is mainly dependent on hypertension, not on diabetes, Am J Physiol Renal Physiol 2007, 292:F820-827
Waschke J, Menendez-Castro C, Bruggeman P, Koob R, Amagai M, Gruber HJ, Drenckhahn D, Baumgartner W: Imaging and force spectroscopy on desmoglein 1 using atomic force microscopy reveal multivalent Ca(2+)-dependent, low-affinity trans-interaction. J Membr Biol. 2007, 216:83-92
2006
Porst M, Plank C, Bieritz B, Konik E, Fees H, Dötsch J, Hilgers KF, Reinhardt DP, Hartner A: Fibrillin-1 regulates mesangial cell attachment, spreading, migration and proliferation. Kidney Int 2006, 69:450-6
Hartner A, Porst M, Klanke B, Cordasic N, Veelken R and Hilgers KF: Angiotensin II formation in the kidney contributes to nephrosclerosis in Ren-2 hypertensive rats. Nephrol Dial Transplant 2006, 21:1778-1785
Hartner A, Schaefer L, Porst M, Cordasic N, Gabriel A, Klanke B, Reinhardt DP, Hilgers KF: Role of fibrillin-1 in hypertensive and diabetic glomerular disease. Am J Physiol Renal Physiol 2006, 290:F1329-36
Plank C, Ostreicher I, Hartner A, Marek I, Struwe F, Amann K, Hilgers KF, Rascher W, Dötsch J: Intrauterine growth retardation aggravates the course of acute anti-Thy1.1-nephritis in the rat. Kidney Int 2006, 70:1974-1982
Ruan W, Fahlbusch F, Clemmons DR, Monaco ME, Walden PD, Silva AP, Schmid HA, Kleinberg DL: SOM230 inhibits insulin-like growth factor-I action in mammary gland development by pituitary independent mechanism: mediated through somatostatin subtype receptor 3? Mol Endocrinol. 2006, 20:426-36
2005
Veelken R, Hilgers KF, Porst M, Krause H, Hartner A, Schmieder RE: Effects of sympathetic nerves and angiotensin II on renal sodium and water handling in rats with common bile duct ligature. Am J Physiol Renal Physiol 2005, 288:F1267-75
Hartner A, Veelken R, Wittmann M, Cordasic N, Hilgers KF: Effects of diabetes and hypertension on macrophage infiltration and matrix expansion in the rat kidney. BMC Nephrology 2005, 6:6
Plank C, Hartner A, Klanke B, Geissler B, Porst M, Amann K, Hilgers KF, Rascher W, Dötsch J: Adrenomedullin reduces mesangial cell number and glomerular inflammation in experimental mesangioproliferative glomerulonephritis. Kidney Int 2005, 68:1086-1095
Porst M, Daniel C, Plank C, Schocklmann HO, Reinhardt DP, Hartner A: Induction and coexpression of latent transforming growth factor beta-binding protein 1 (LTBP-1) and fibrillin-1 in experimental glomerulonephritis. Nephron (Exp Nephrol) 2005, 102:e99-e104
Älter:
Hartner A, Eifert T, Haas CS, Tuysuz C, Hilgers KF, Reinhardt DP, Amann K: Characterization of the renal phenotype in a mouse model of Marfan Syndrome. Virchow’s Archiv 2004, 445:382-388
Hartner A, Hilgers KF, Bitzer M, Veelken R, Schöcklmann HO: Dynamic expression patterns of transforming growth factor-2 and transforming growth factor receptors in experimental glomerulonephritis. J Mol Med 2003, 81:32-42
Hartner A, Cordasic N, Goppelt-Struebe M, Veelken R, Hilgers KF: Role of macula densa cyclooxygenase-2 in renovascular hypertension. Am J Physiol Renal Physiol 2003, 284:F498-502
Gauer S, Hartner A, Hauser IA, Fierlbeck W, Eberhardt W, Geiger H: Differential regulation of osteopontin expression in the clipped and nonclipped kidney of two-kidney, one-clip hypertensive rats. Am J Hypertens 2003, 16:214-222
Bieritz B, Spessotto P, Colombatti A, Jahn A, Prols F, Hartner A: Role of 8 integrin in mesangial cell adhesion, migration and proliferation. Kidney Int 2003, 64:119-127
Hartner A, Cordasic N, Klanke B, Veelken R, Hilgers KF: Strain differences in the development of hypertension and glomerular lesions induced by deoxycorticosterone acetate (DOCA)-salt in mice. Nephrol Dial Transplant 2003, 18:1999-2004
Haas CS, Amann K, Schittny J, Blaser B, Müller U, Hartner A: Glomerular and renal vascular structural changes in 8 integrin-deficient mice. J Am Soc Nephrol 2003, 14:2288-96
Hartner A, Cordasic N, Klanke B, Müller U, Sterzel RB, Hilgers KF: The alpha8 integrin chain affords mechanical stability to the glomerular capillary tuft in hypertensive glomerular disease. Am J Pathol 2002, 160:861-867
Mann B, Hartner A, Jensen BL, Hilgers KF, Höcherl K, Krämer BK, Kurtz A: Acute upregulation of COX-2 by renal artery stenosis. Am J Physiol Renal Physiol 2001, 280:F119-F125
Mann B, Hartner A, Jensen BL, Kammerl M, Krämer BK, Kurz A: Furosemide stimulates macula densa cyclooxygenase-2 expression in rats. Kidney Int 2001, 59:62-68
Hartner A, Porst M, Gauer S, Pröls F, Veelken R, Hilgers KF: Glomerular osteopontin expression and macrophage infiltration in glomerulosclerosis of DOCA-salt rats. Am J Kid Dis 2001, 38:153-164
Hilgers KF, Veelken R, Müller DN, Kohler H, Hartner A, Botkin SR, Stumpf C, Schmieder RE, Gomez RA: Renin uptake by the endothelium mediates vascular angiotensin formation. Hypertension 2001, 38:243-248
Porst M, Hartner A, Krause H, Hilgers KF, Veelken R: Inducible nitric oxide and glomerular hemodynamics in rats with liver cirrhosis. Am J Physiol Renal Physiol 2001, 281:293-299
Hilgers KF, Hartner A, Porst M, Veelken R, Mann JFE: Angiotensin II type 1 receptor blockade prevents lethal malignant hypertension: relation to kidney inflammation. Circulation 2001, 104:1436-1440
Veelken R, Hilgers KF, Hartner A, Haas A, Böhmer KP, Sterzel RB: Nitric oxide synthase isoforms and glomerular hyperfiltration in early diabetic nephropathy. J Am Soc Nephrol 2000, 11:71-79
Lang S, Hartner A, Sterzel RB, Schöcklmann HO: Requirement of cyclin D1 in mesangial cell mitogenesis. J Am Soc Nephrol 2000, 11:1398-1408
Hartner A, Pahl A, Brune K, Goppelt-Strübe M: Regulation of cyclooxygenases and the PGE2 receptor EP2 in rat and human mesangioproliferative glomerulonephritis. Inflamm Res 2000, 49:345-354
Schöcklmann HO, Lang S, Kralewski M, Hartner A, Lüdke A, Sterzel RB: Distinct structural forms of type I collagen modulate cell cycle regulatory proteins in mesangial cells. Kidney Int 2000 , 58:1108-20
Sterzel RB, Hartner A, Schlötzer-Schrehardt U, Voit S, Hausknecht B, Braghetta P, Doliana R, Colombatti A, Gibson MG, Bressan GM: Elastic fiber proteins in the glomerular mesangium in vivo and in cell culture. Kidney Int 2000, 58:1588-1602
Hilgers KF, Hartner A, Porst M, Mai M, Wittmann M, Hugo C, Ganten D, Geiger H, Veelken R, Mann JFE: Monocyte chemoattractant protein and monocyte/macrophage infiltration in hypertensive kidney injury. Kidney Int 2000, 58:2408-2419
Wolf K, Castrop H, Hartner A, Goppelt-Strübe M, Hilgers KF, Kurtz A: Inhibition of the renin-angiotensin system upregulates cyclooxygenase-2 expression in the macula densa. Hypertension 1999, 34:503-507
Hartner A, Schöcklmann HO, Pröls F, Müller U, Sterzel RB: Alpha8 integrin in glomerular mesangial cells and in experimental glomerulonephritis. Kidney Int 1999, 56:1468-1480
Hartner A, Goppelt-Strübe M, Hilgers KF: Coordinate expression of cyclooxygenase-2 and renin in the rat kidney in renovascular hypertension. Hypertension 1998, 31:201-205
Hartner A, Goppelt-Strübe M, Hocke GM, Sterzel RB: Differential regulation of chemokines by leukemia inhibitory factor, interleukin-6 and oncostatin M. Kidney Int 1997,51:1754-1760
Hartner A, Sterzel RB, Reindl N, Hocke GM, Fey GH, Goppelt-Strübe M: Cytokine-induced expression of leukemia inhibitory factor in renal mesangial cells. Kidney Int 1994, 45:1562-1571
Anfragen wegen Doktorarbeiten sowie Diplom- und Masterarbeiten sind jederzeit willkommen. Bitte schicken Sie bei Interesse Ihre Bewerbung an die jeweiligen Ansprechpartner der Projekte.
Leitung
Mitarbeitende
PD Dr. med. Dipl.-Mol.Med. Ines Marek
Fachärztin für Kinder- und Jugendmedizin
E-Mail: ines.marek(at)uk-erlangen.de
Prof. Dr. med. Carlos Menendez-Castro
Facharzt für Kinder- und Jugendmedizin
Telefon: 09131 85-33118
E-Mail: carlos.menendez-castro(at)extern.uk-erlangen.de
Haupttätigkeit bei: AG Hartner
Doktorandinnen und Doktoranden
Vincent Hauser
Franziska Haft
Magdalena Simmerl
Philipp Bock
Donata Hootz
Michael Baumgartner
Isabell Robl



